首页
组词
近义词
反义词
造句
笔顺
汉语字典
组词
造句
近义词
反义词
笔顺
【巨细胞病毒】 基本信息(拼音,读音等)
我要纠错
简体
巨
细
胞
病
毒
繁体
巨細胞病毒
拼音
jù xì bāo bìng dú
怎么读
英语
cytomegalovirus (CMV)
【巨细胞病毒】是什么意思
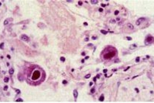
一种微生物。因其入侵人体培养组织细胞后,在显微镜下可以看到其细胞变大,故称为「巨细胞病毒」。最早是从小孩的唾液腺中培养而成。
【巨细胞病毒】 图片鉴赏
文章发到手机:
微信
QQ好友
QQ空间
新浪微博
复制网址
有道云笔记
印象笔记
一键分享
相关词语
巨组词
:
巨大
巨盗
巨公
巨海
巨浪
巨室
巨着
狂涛巨浪
细组词
:
胆大心细
毛细管
细胞
细胞核
细胞质
细目
细巧
细瘦
细心
细针密缕
腺细胞
胞组词
:
胞妹
刺丝胞
民胞物与
难胞
双胞胎
细胞
细胞核
细胞质
腺细胞
病组词
:
艾滋病毒
病虫害
病免
电脑病毒
高空病
竞病
狂犬病
染病
同病相怜
乌脚病
毒组词
:
艾滋病毒
丹毒
电脑病毒
毒饵
毒酒
毒药
毒瘴
消毒剂
辞友查询
绌有多少笔画
大姐姐的读音
鳍怎么读
雯组词
嗳的多音字组词
一言不发反义词
如许近义词
父子兵怎么造句
饯的笔顺
查字典的部份资料来自网络或由网友提供,不保留版权,如有侵权,请与我们联系以从站上删除! 免责声明:本站非营利性站点,以方便网友为主,仅供学习。
Tip:SCCG