首页
组词
近义词
反义词
造句
笔顺
汉语字典
组词
造句
近义词
反义词
笔顺
【肠穿孔】 基本信息(拼音,读音等)
我要纠错
简体
肠
穿
孔
繁体
腸穿孔
拼音
cháng chuān kǒng
怎么读
【肠穿孔】是什么意思
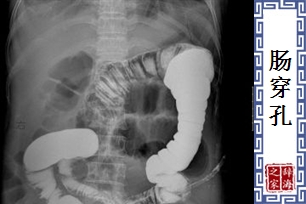
病名。肠壁穿破成孔,粪便等排泄物流入腹腔,导致感染。症状包括呕吐、剧烈的腹痛、脉搏微弱等。
【肠穿孔】 图片鉴赏
文章发到手机:
微信
QQ好友
QQ空间
新浪微博
复制网址
有道云笔记
印象笔记
一键分享
相关词语
肠组词
:
寸肠
回肠
九回肠
泪出痛肠
柔肠百转
鼠腹鸡肠
铁肠石心
铁心肠
穿组词
:
百步穿杨
步雪履穿
穿接
穿孔
穿胸
贯穿
磨穿铁砚
试穿
孔组词
:
百孔千创
穿孔
孔翠
孔道
孔方兄
孔夫子
孔窍
孔席不暖
镗孔
辞友查询
天才的解释
农药是什么意思
芮怎么读
伢有哪些组词
故的多音字怎么读
千秋万代反义词是什么
答信近义词是什么
凡桃俗李如何造句
形的笔划数
查字典的部份资料来自网络或由网友提供,不保留版权,如有侵权,请与我们联系以从站上删除! 免责声明:本站非营利性站点,以方便网友为主,仅供学习。
Tip:SCCG