【葡萄球菌】的意思和解释
【葡萄球菌】 是什么意思(来源:辞典修订版)
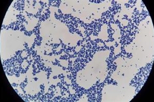
- 一种微生物。属革兰氏阳性球菌,通常聚集成串如葡萄状,故称为「葡萄球菌」。分布极广,在人类或动物的黏膜及皮肤上均可见。其发病率较肺炎球菌或滤过性毒为低,大都发生于乳儿时期。一旦感染即不易治疗,且有脓胸并发症,会威胁生命安全,是所有肺炎中最可怕的病原菌。此病多由于吃下腐败的乳制品或肉类所引起。
【葡萄球菌】 图片鉴赏

查字典的部份资料来自网络或由网友提供,不保留版权,如有侵权,请与我们联系以从站上删除! 免责声明:本站非营利性站点,以方便网友为主,仅供学习。
Tip:SCCG
