【龛影】的意思和解释
【龛影】 是什么意思(来源:辞典修订版)
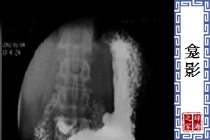
- 检查胃肠时,先饮下钡餐,以填充胃肠的溃疡部位,此时在萤光屏或X光照片上所形成的阴影,即称为「龛影」。
【龛影】 图片鉴赏

相关词语
查字典的部份资料来自网络或由网友提供,不保留版权,如有侵权,请与我们联系以从站上删除! 免责声明:本站非营利性站点,以方便网友为主,仅供学习。
Tip:SCCG
