【肠穿孔】的意思和解释
【肠穿孔】 是什么意思(来源:辞典修订版)
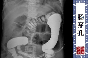
- 病名。肠壁穿破成孔,粪便等排泄物流入腹腔,导致感染。症状包括呕吐、剧烈的腹痛、脉搏微弱等。
【肠穿孔】 图片鉴赏

查字典的部份资料来自网络或由网友提供,不保留版权,如有侵权,请与我们联系以从站上删除! 免责声明:本站非营利性站点,以方便网友为主,仅供学习。
Tip:SCCG
